Çinli bilim insanları, kırık kemik tedavisinde devrim yaratabilecek yeni bir biyolojik yapıştırıcı geliştirdi. "Bone-02" adı verilen bu tedavi yöntemi sayesinde normalde aylar süren iyileşme sürecinin kısalabileceği belirtiliyor.
Global Times'ın haberine göre kemik yapıştırıcısı, özellikle platinin vidalarla sabitlenmesi gibi uzun süreli dinlenmeyi gerektiren cerrahi operasyonlara alternatif olarak tasarlandı.
ENFEKSİYON RİSKİ AZALIYOR
Tedavinin yalnızca tek bir enjeksiyon yoluyla uygulandığı belirtiliyor. Yapıştırıcı, kırık kemik parçalarını üç dakika içinde birleştiriyor.
İlk testler bu yöntemle yapılan tedavilerde platine kıyasla daha az enfeksiyon riski bulunduğunu da ortaya koydu.
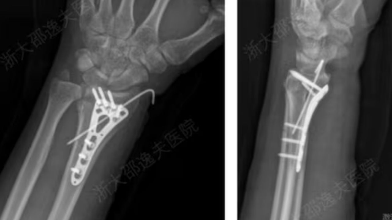
İKİNCİ AMELİYATA GEREK KALMADI
Cho Sun Daily’nin aktardığı bir vakada, bileği kırılan bir hastaya yalnızca 3 cm’lik bir kesiden enjeksiyon yapıldığı ve sadece üç dakika içinde kırığın sabitlendiği anlatılıyor.
Normal koşullarda hasta platin ve vidalarla ameliyat edilmek zorunda kalacak, ardından bir yıl sonra ikinci bir operasyonla implantların çıkarılması gerekecekti. Ancak "Bone-02"sayesinde bu işlemlerden hiçbirinin yapılmadığına dikkat çekildi.
Üç ay sonraki kontrollerde hastanın kırığının sorunsuz bir şekilde tamamen iyileştiği belirtildi.
İLHAM KAYNAĞI İSTİRİDYELER
Araştırmacılar bu yapıştırıcıyı geliştirirken istiridyelerden ilham aldıklarını açıkladı.
İstiridyeler, deniz altındaki ıslak ve hareketli yüzeylere sıkıca tutunabilen doğal bir biyolojik yapıştırıcı salgılıyor. "Bone-02" de aynı şekilde nemli, tuzlu ve hareketli ortamlarda güçlü yapıştırma özelliğine sahip.
Deneylerde yapıştırıcının 180 kilogramdan fazla basınca dayanabildiği görüldü. Ayrıca "Bone-02", iyileşme sürecinde kemikle bütünleşerek vücut tarafından doğal olarak emiliyor. Böylece ikinci bir ameliyata da gerek kalmıyor.
Mikroplastikler kemik sağlığını tehdit ediyor: Osteoporoz riskini artırabilirSağlık