İran'da geçen ay şiddetlenen rejim karşıtı protestolarda güvenlik güçlerinin protestoculara şiddetli müdahalesinin boyutlarını gösteren yeni tıbbi raporlar yayınlandı.
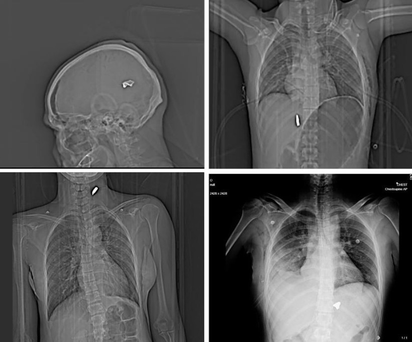
İngiliz gazetesi The Guardian ve şüpheli bilgilerin doğruluğunu teyit eden Factnameh'nin ortak araştırmasında ülkenin en büyük şehirlerinden birindeki tek bir hastaneden toplanan 75'ten fazla röntgen ve bilgisayarlı tomografi görüntüsü gözler önüne serildi.
Bu görüntüler, güvenlik güçlerinin yüksek kalibreli silahlar ve saçma kullandığı yönündeki iddiaları destekliyor. Röntgenlerin büyük bir kısmında protestoculara karşı "birdshot" olarak bilinen bir mühimmatın kullanıldığı ifade ediliyor.

Uzmanlara göre bu mühimmat uzak mesafede geniş alana yayılırken yakın mesafede ciddi ve hayati risk taşıyan yaralanmalara yol açabiliyor.
Balistik uzmanları bazı görüntülerde vücuttaki mermilerin AK-47 ve KL-133 gibi taarruz tüfeklerinde kullanılan mermilere benzediğini belirtti.
Bir başka uzman ise yaralanmaları "savaş alanında görülebilecek türden" olarak tanımladı.
Saldırıların daha çok yüz, göğüz ve genital bölgede yoğunlaşması da dikkat çekti. 2022'de patlak veren "Kadın, Yaşam, Özgürlük" protestolarında da benzer bir örüntü oluşmuştu.

Guardian'a konuşan İranlı doktorlar, protestocuların özellikle göz, göğüs ve genital bölgelerinin hedef alındığını belirtmişti. Bazı sağlık çalışanları, çok sayıda hastada görme kaybı yaşandığını, aralarında çocukların da bulunduğunu aktarmıştı.
Uzmanlar genital bölgeyi hedef alan saldırıların ise uzun vadeli ağır sonuçlar doğurabileceğini, kalıcı kısırlık riskinin yüksek olduğunu belirtti.
ABD'den İran'la müzakere yorumuDünya