Dolar 42,50
Euro 49,53
G. Altın 5.755,57
Btc 89.314
Dolar 42,50
Euro 49,53
G. Altın 5.755,57
Btc 89.314

Uzmanlar anlattı: Diş renginiz hangi hastalığın habercisi?

Diş renginde meydana gelen değişiklikler ciddi hastalıkların habercisi olabilir. Ağız ve diş sağlığı uzmanı Allen Zhang, diş renginden yola çıkarak dikkat edilmesi gereken hastalıkları anlattı.

Uzmanlar anlattı: Diş renginiz hangi hastalığın habercisi? - Resim: 1

Herkes inci gibi dişleri olmasını ister ancak sararmalar, kahve ve çayın bıraktığı lekeler ve plak oluşumu sebebiyle dişlerimiz neredeyse hiçbir zaman istediğimiz mükemmelliğe ulaşmaz.

Ne var ki diş rengindeki değişiklikler büyük sağlık sorunlarının habercisi olabilir. Dolayısıyla dişlerinizin sağlığına dikkat etmek ileride yaşanacak olan sağlık sorunlarının önüne geçmenize yardımcı olabilir.

Bir ağız ve diş sağlığı kliniği olan ProDent’in kurucusu Allen Zhang, “Eğer neye bakacağınızı bilirseniz dişleriniz bazı konularda size uyarı verebilir. Ağız içi kameralar gibi basit aletler, daha ciddi sorunlara dönmeden dişte meydana gelen renk değişiklerini saptamanıza yardımcı olabilir" dedi.

1 9
Uzmanlar anlattı: Diş renginiz hangi hastalığın habercisi? - Resim: 2

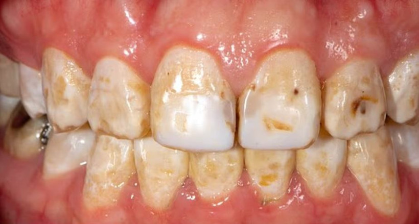
SARI RENK

Diş sararması genelde aşırı çay ve kahve tüketiminden kaynaklansa da Zhang’a göre bir karaciğer hastalığının habercisi de olabilir. Karaciğer düzgün çalışmadığında safrada üretilen sarı renk pigmenti bilirubinin vücutta birikmesine yol açar. Bu da dişlerin sararmasına neden olabilir.

2 9
Uzmanlar anlattı: Diş renginiz hangi hastalığın habercisi? - Resim: 3

GRİ RENK

Öte yandan mat gri bir renk ise, dişin daha önceki bir travma nedeniyle ‘öldüğünü’ gösterebilir. Ayrıca bu renk, diş minesi oluşumunu bozarak renk değişimine yol açabilen çölyak hastalığı gibi sistemik rahatsızlıklarla da ilişkili.

Diş hekimlerine göre çölyak hastalığı sebebiyle meydana gelen diş hasarları kalıcı oluyor; ancak büyük çocuklarda ve yetişkinlerde bu kusurları kapatmak için estetik diş düzeltme uygulaması, kaplama ya da diğer çözümlere başvurulabiliyor.

3 9
Uzmanlar anlattı: Diş renginiz hangi hastalığın habercisi? - Resim: 4

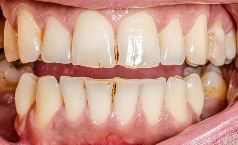
KAHVERENGİ LEKELER

Dişinizdeki kahverengi lekelerse diş çürüğünün erken habercisi olabilir. Ancak bunu kahverengi çizgilerle karıştırmamak gerekiyor çünkü bu çizgiler, diş gelişimi sırasında aşırı florür alımı sonucu oluşan florozdan kaynaklanabiliyor.

Florozun meydana gelmesindeki en büyük etken diş macunu ve ağız gargaraları gibi florür içeren diş ürünlerinin yanlış kullanımı.

4 9
Uzmanlar anlattı: Diş renginiz hangi hastalığın habercisi? - Resim: 5

MAVİ VE GRİ ÇİZGİLER

Çocukluk dönemine kadar uzanan bir başka sorun ise dişlerde görülen mavi ya da gri çizgiler; bu durum, küçük yaşta kullanılan antibiyotiklerle bağlantılı olabilir.

5 9
Uzmanlar anlattı: Diş renginiz hangi hastalığın habercisi? - Resim: 6

BEYAZ LEKELER

İnsanlar dişlerinin bembeyaz olmasını istese de beyaz lekeler dişte erken çürümenin habercisidir.

6 9
Uzmanlar anlattı: Diş renginiz hangi hastalığın habercisi? - Resim: 7

SİYAH LEKELER

Siyah renk ise ilerlemiş çürüğü ve dişinizin içindeki pulpa dokusunun öldüğünü gösterir. Bazı durumlarda bu ağır metale maruz kaldığınızın da bir göstergesi.

7 9
Uzmanlar anlattı: Diş renginiz hangi hastalığın habercisi? - Resim: 8

DİŞ MİNESİ LEKELERİ

Son olarak, düzensiz ve yamalı renk değişimi şeklinde görülen diş minesi lekeleri, ‘amelogenesis imperfecta’ gibi genetik bozukluklara işaret edebilir. Bu sorunlar diş minesini zayıflatarak dişleri hasara yatkın hale getirir.

8 9
Uzmanlar anlattı: Diş renginiz hangi hastalığın habercisi? - Resim: 9

Zhang’a göre dişleriniz sizin henüz göremediğiniz şeyleri gün yüzüne çıkarabilir. Hastalık Kontrol ve Korunma Merkezleri’ne göre dünya genelinde 3.7 milyar insan ağız hastalıklarından muzdarip. Bazı durumlarda tedavi edilmeyen diş çürükleri apse, diş kaybı hatta hayati tehlike oluşturan hastalıklara bile yol açabilir.

9 9
Haberler
Kurumsal
İçerikler
Sosyal Medya
© 2024 Nefes Gazetesi. Tüm hakları saklıdır.
Yazılım ve Tasarım: Bilgin Pro