ABD'nin Missouri eyaletinde yaşayan sihirbaz ve moleküler biyolog Zi Teng Wang, yıllar önce gösterilerinde kullanmak için eline bir adet RFID mikroçipi yerleştirdi. Ancak Wang, çipe koyduğu şifreyi unutunca kendi bedeninde taşıdığı teknolojiye erişemez hale geldi.
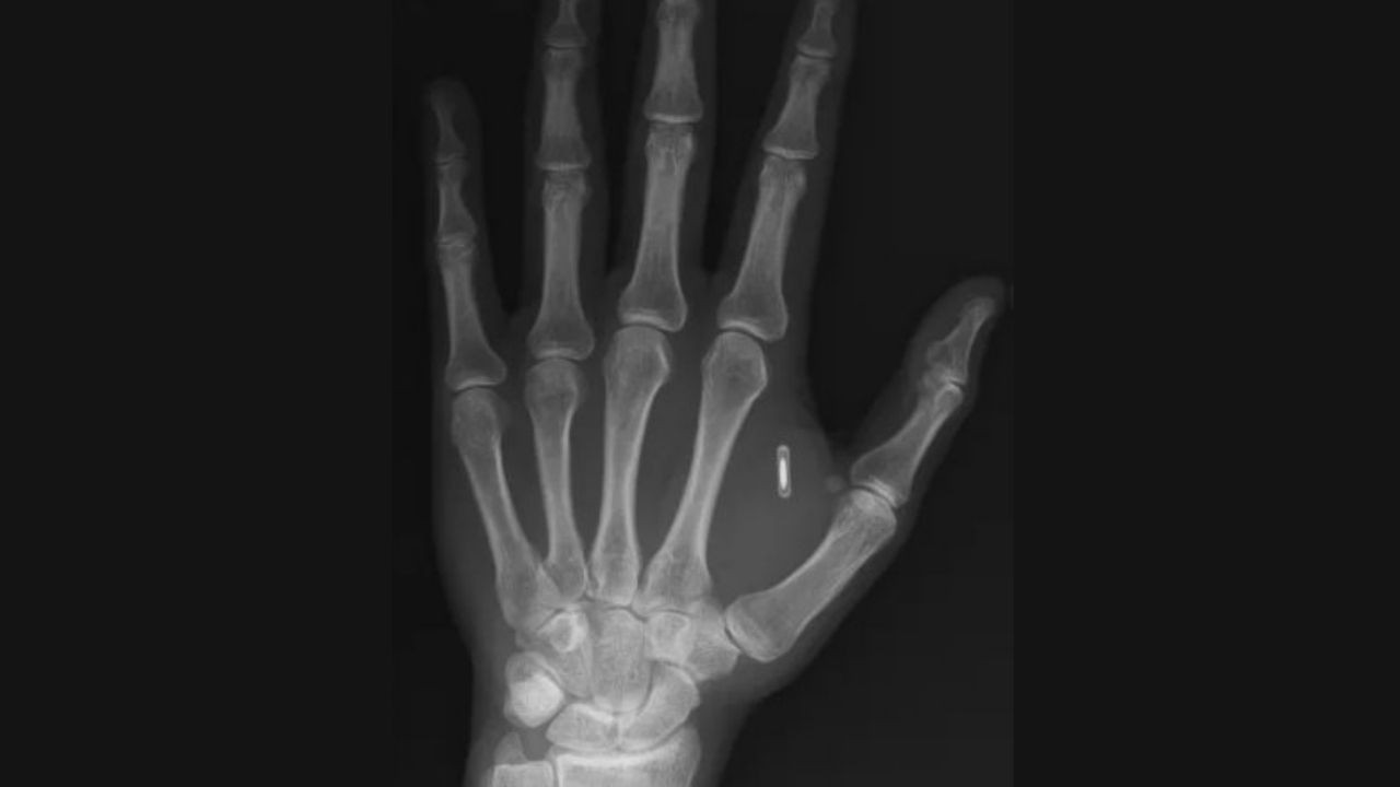
Yaşadığı durumu Facebook hesabından elinin röntgen görüntüsüyle paylaşan Wang "Şu anda kendi siberpunk distopyamı yaşıyorum, kendi vücudumdaki teknolojiye erişemiyorum ve bu tamamen benim aptallığım" diye yazdı.
HER ŞEY SAHNE NUMARASI İÇİNDİ
RFID çipi, bir seyircinin telefonunu Wang'ın eline yaklaştırmasıyla çalışıyor ve sihir numarasını tetikliyordu. Ancak Wang, birçok telefonda RFID okuma özelliğinin kapalı olması nedeniyle bu fikrin sandığı kadar verimli olmadığını fark etti.
Bu kez çipi, bir Bitcoin adresi ve Imgur'da bulunan "meme" bağlantısıyla yeniden programladı. Ancak Imgur bağlantısı da yıllar sonra bozuldu. Wang çipi yeniden yazmak istediğindeyse kendi koyduğu şifreyi hatırlayamadığını fark etti.
TEK ÇÖZÜM: ŞİFRELERİ TEK TEK DENEMEK
Wang'ın teknoloji uzmanı arkadaşlarının söylediğine göre yapabileceği tek şey RFID okuyucusunu günlerce eline bağlı tutarak tüm şifre kombinasyonlarını tek tek denemesi. Çünkü üretim sistemi, şifreyi sıfırlama imkanı sunmuyor. Şifre unutulduğu için de çip kilitli kalıyor.
Bu yöntemin hiç pratik olmadığını söyleyen Wang, çipin kolunda kalacağını belirtti. Mesajında da "Hâlâ kendi vücudumdaki teknolojiye erişemiyorum. Sinir bozucu ama komik" dedi.
DAHA ÖNCE DE YAŞANDI
2018'de Vice yazarı Daniel Oberhaus da sarhoşken eline bir NFC çipi taktırmış ancak sonrasında şifresini unutmuştu. Bunun üzerine kendisini "dünyanın en işe yaramaz siborgu" ilan eden Oberhaus, aylar sonra teknik dokümanları incelerken şifresini bulmuştu.
Uzmanlar çiplerin vücuda entegre edilmesiyle ilgili teknolojinin yaygınlaşması sonucunda bu tür durumların gelecekte daha sık yaşanabileceği uyarısında bulunuyor.
Hollanda'dan Çin'e karşı geri adım: Nexperia planından vazgeçtilerEkonomi